肠道炎症是全球性的公共健康问题,与整体健康密切相关,其日益受到公共卫生的关注。通过引入致病因子(感染或化学损伤)可在斑马鱼肠道建立炎症模型,通过活体成像观察肠道的病理变化,如炎症细胞浸润、上皮完整性破坏以及检测炎症标志物的表达,如炎症性细胞因子、黏附分子等,可以全方位评估斑马鱼肠道在炎症状态下的病理变化和机制,为研究炎症性肠病治疗药物提供重要参考。
肠道病理组织切片:通过石蜡切片对肠道组织病变进行检测,与对照组相比,肠道炎症组斑马鱼幼鱼的肠道组织松动,肠上皮细胞脱落以及肠腔扩张,在添加供试药物处理后,肠道组织的结构在一定程度上得到了恢复。

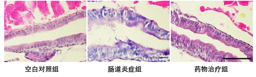
肠道黏膜损伤检测:肠道杯状细胞及其分泌的酸性粘蛋白是肠道屏障的重要组成部分,也在维持肠道免疫稳态方面起着重要作用,利用阿尔新兰染色可对肠道中的杯状细胞进行标记。如图中的结果显示,同对照组相比,肠道炎症组中的杯状细胞数量显著减少,提示肠道粘膜受到损伤以及肠道屏障被破坏,而加供试药物处理可使受损的杯状细胞数量恢复。

炎症细胞浸润检测:在炎症发生时,中性粒细胞可以迅速聚集在损伤部位并对炎症作出反应,如图中显示,肠道部位的炎症反应导致斑马鱼的中性粒细胞向肠道异常聚集,与对照组相比,肠道炎症组在肠道中性粒粒细胞的数量显著增加。而供试药物的治疗显著抑制了中性粒细胞的迁移。


